L’Autorité de l’énergie atomique en France a récemment publié la photographie la plus précise à ce jour du cerveau humain, après avoir obtenu l’approbation pour utiliser l’appareil d’imagerie par résonance magnétique le plus puissant.
Les autorisations ont été accordées après la première utilisation de l’appareil en 2021 pour imager les courges, mais au cours des derniers mois, environ 20 volontaires se sont portés volontaires pour être les premiers à tester l’appareil, qui se trouve désormais dans la région du Plateau de Saclay, au sud de Paris, regroupant de nombreuses entreprises technologiques et institutions universitaires.
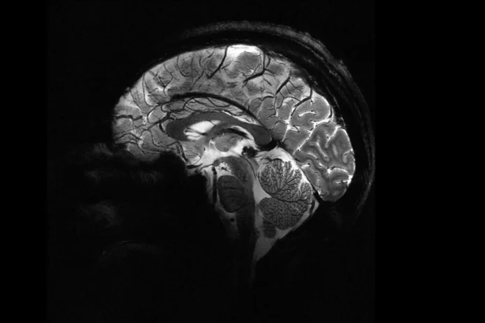
Selon le physicien Alexandre Vignon, une précision inégalée a été atteinte, avec un champ magnétique créé par l’appareil atteignant 11,7 teslas, ce qui lui permet d’effectuer des scans dix fois plus précis que les appareils d’imagerie par résonance magnétique classiques dans les hôpitaux.
Grâce à cet appareil, les chercheurs ont pu observer de petits vaisseaux sanguins alimentant le cortex cérébral, ainsi que des détails du cervelet qui n’étaient pas visibles auparavant.
En ce qui concerne les applications scientifiques, cet appareil devrait contribuer à une meilleure compréhension du lien entre les fonctions cérébrales et sa structure. Les chercheurs espèrent également l’utiliser pour diagnostiquer des troubles neurologiques et des maladies telles que la schizophrénie et la dépression, ainsi que pour comprendre la réponse du cerveau aux traitements des troubles bipolaires.





